Gespecialiseerde kliniek voor gelaatsverjonging

De bovenooglidcorrectie: klein van formaat, groot in effect

17 april 2026

Een bovenooglidcorrectie lijkt op het eerste gezicht een eenvoudige ingreep. Juist daardoor wordt deze behandeling door uiteenlopende artsen aangeboden. In werkelijkheid vraagt een mooi en natuurlijk resultaat echter om veel meer dan alleen technische vaardigheid.

Het gaat namelijk niet alleen om het verwijderen van overtollige huid. Een goede beoordeling kijkt naar het geheel: de positie van de wenkbrauwen, de mate van huidoverschot, eventueel uitpuilend vet (met name mediaal), de mimiek (zoals fronsen en lachen) en de algehele balans van het gezicht. Soms ligt de oorzaak van "zware oogleden" niet primair in het ooglid zelf, maar bijvoorbeeld in een laagstaande wenkbrauw of zelfs uitgerekte hefspier. In dat geval kan een wenkbrauwlift, voorhoofdslift, een behandeling met botulinetoxine of het tegelijk uitvoeren van een bovenooglidcorrectie met het inkorten van de hefspier een betere eerste stap zijn.

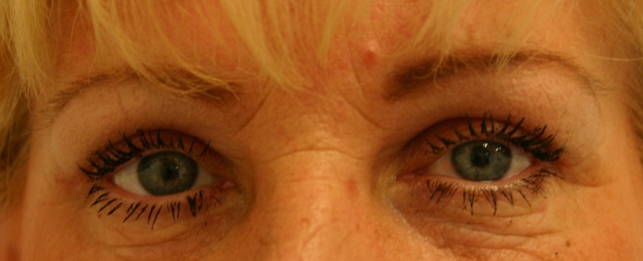
Bovenooglidcorrectie voor – 51-jarige vrouw
Bovenooglidcorrectie na – 51-jarige vrouw

Bovenooglidcorrectie met het inkorten van de hefspier: dat geeft weer de mooie frisse heldere blik bij deze 51-jarige vrouw!

Juist deze afwegingen maken dat ervaring en specialistische kennis essentieel zijn. Een minder goed uitgevoerde bovenooglidcorrectie is vaak direct zichtbaar en moeilijk te corrigeren. Het gebied rond de ogen is immers bepalend voor de eerste indruk: daar wordt als eerste naar gekeken.

Subtiele bovenooglidcorrectie voor – 38-jarige vrouw
Subtiele bovenooglidcorrectie na – 38-jarige vrouw

Hoe een vermoeid zwaar uitziende blik van een 38-jarige vrouw weer natuurlijk fris wordt door uitvoering van een zeer subtiele vetsparende bovenooglidcorrectie.

Wie een bovenooglidcorrectie overweegt, doet er daarom verstandig aan niet alleen naar prijs te kijken, maar vooral naar expertise en ervaring. U investeert immers niet alleen in een behandeling, maar in een natuurlijke, frisse en blijvende uitstraling van uw gezicht.

Overweegt u een bovenooglidcorrectie?

Lees meer over de behandeling of maak een afspraak voor een persoonlijk consult.

Bekijk de behandelpagina →
Informatie gevonden of heeft u nog vragen?Neem contact opMaak een afspraak